誰でも
「より良い治療を受けたい」&
「失敗したくない」
という思いがありますが
それを判別するのは難しいと思います。
では、矯正治療における「質の高い治療」
とはどのような治療なのか?。
“矯正治療が初めて”という方にとって、
「どんな歯並びが良いとされているのか?」、
「どのようなポイントが大事なのか?」
形態的&機能的の2つの側面から
質の高い矯正治療の基準について
解説いたします。
-
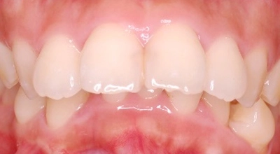
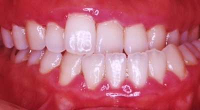
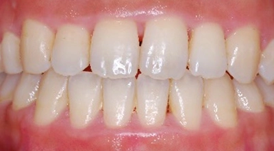
形態的な評価
- 1上下の真ん中の線があっている
- 2下の前歯が1/2~1/3上の前歯で被われている
- 3上の犬歯の先が半分ずれて、
下の犬歯の奥に位置する - 4犬歯の奥の2本の歯は、
上下交互に並んでいる - 5上の6歳臼歯は下の
6歳臼歯に対し、少し奥にある
-
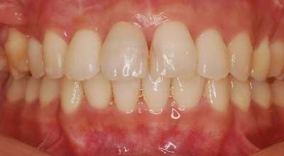
機能的な評価
- 6上下の歯が噛んだ時に
あたっている(隙間がない) - 7上下の歯が噛んだ時、
顎のずれをおこさない
- 6上下の歯が噛んだ時に











































